Medical Imaging, Reinvented
Medical imaging has become the backbone of modern healthcare. CT (Computed Tomography) scans provide detailed insights into the human body and are commonly used for diagnosing brain, lung, abdominal, and other diseases.
🎯 The Challenge
Manual interpretation of CT scans requires highly skilled radiologists, is time-intensive, and may result in delayed or inaccurate diagnoses due to human limitations.
💡 Our Solution
RADISIST (Radiology & Diagnostic System) leverages Artificial Intelligence and Deep Learning to automatically analyze CT scans, detect multiple diseases, and generate structured diagnostic reports.
Upload
CT Scan Images
AI Analysis
Deep Learning
Report
Diagnostic Results
10x
Faster triage vs. manual review
95%+
Target diagnostic reliability
24/7
Always-on assistance
Secure
Privacy-first data handling
Description of the Problem
- Time delays in reporting.
- Errors in interpretation due to fatigue or high workload.
- Limited access to expert radiologists in remote areas.
These issues highlight the need for an automated AI-based diagnostic solution that can provide accurate, fast, and accessible results.
Solution Overview
The major objectives of RADISIST are:
- Analyze CT scan images using AI.
- Accurately detect and classify multiple diseases with deep learning.
- Generate detailed diagnostic reports for patients and clinicians.
- Reduce dependency on manual interpretation and improve efficiency.
- Provide a user-friendly web interface for easy accessibility.
Expected Results
- Real-time CT scan analysis with highlighted abnormalities and medical insights.
- Improved efficiency and accuracy in diagnostic decision-making.
- Reliable, accessible tool for regions with limited radiology expertise.
Advanced AI Diagnostic Features
Smart Upload & Processing
- Secure CT scan upload in multiple formats
- Advanced preprocessing and enhancement
- AI-powered confidence scoring
- Structured diagnostic reports
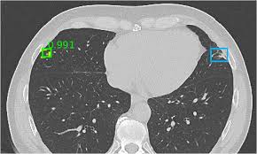
Disease Detection
- Lung cancer detection and staging
- Pulmonary infection identification
- Nodule and lesion analysis
- Future: Multi-organ expansion
AI-Powered Analysis
- Deep CNN model architecture
- Real-time image processing
- Automated anomaly detection
- Intuitive visual highlights
Enterprise-Grade Security
- HIPAA-compliant data handling
- End-to-end encryption
- Scalable cloud infrastructure
- 99.9% uptime guarantee
See RADISIST in Action

Get Early Access
Be the first to try RADISIST. We’ll notify you when a demo is ready.
Thank you! You’ll be notified as soon as RADISIST is live.